If you’re thinking about blepharoplasty, it’s probably because you want your outer self to mirror the youthful spirit you feel inside. Maybe it’s the heavy lids or the way your eyes no longer show your true sparkle that brings you here. Whatever your reason, it’s deeply personal and understood here at ICLS Plastic Surgery. If you’re looking for an expert surgical clinic for eyelid surgery in Toronto, we know this isn’t just about looking different—it’s about feeling a renewed sense of self and vitality. We’re here not just to guide you but to listen and ensure you feel supported and seen throughout your journey.

ICLS Plastic Surgery is a leader in Blepharoplasty, servicing Oakville, Mississauga, Toronto and surrounding areas. Our philosophy is simple: your surgery should be as unique as you are. From the first consultation, we strive to understand exactly what you hope to achieve and tailor every detail of your procedure to your needs and features. We’re here to help bring your true self to light. Feel like it’s time to make a change? Give us a call.

What Is Blepharoplasty?

Blepharoplasty, often known as eyelid surgery, removes excess skin, muscle, and sometimes fat from the upper and lower eyelids. This surgery corrects drooping upper eyelids that can impair vision and rejuvenates puffy bags below the eyes, giving a tired appearance.

Upper blepharoplasty targets the sagging skin of the upper eyelids that can obscure peripheral vision and contribute to an aged look. Lower blepharoplasty focuses on removing excess skin and fat from under the eyes, helping to alleviate the appearance of bags and wrinkles. These procedures can be performed separately or together, depending on the patient’s needs, to achieve a refreshed, youthful look around the eyes.

Is Blepharoplasty Right for You?

Considering blepharoplasty in Toronto or the surrounding area? This procedure could be suitable for you if you’re noticing signs of aging or inherited traits that affect the appearance of your eyes—signs like wrinkled or sagging skin on the upper eyelids, excessive fat pads creating puffiness in the lower, or sagging brows that give your face a tired or sad expression. These issues can make even a youthful person appear older, resulting from natural aging and genetic factors.

The ideal candidate for blepharoplasty is someone who is in overall good health, doesn’t have serious eye conditions, and has realistic expectations about the results.

During your consultation at ICLS Plastic Surgery in Oakville, we aim to thoroughly understand your aesthetic goals and evaluate your specific concerns. This meeting is crucial for assessing your health, discussing your vision for the surgery, and ensuring the outcomes are feasible. We’ll explore the best options to address your unique features, focusing on achieving a look that rejuvenates while maintaining the essence of your natural appearance. This step is about crafting a plan that looks great and feels right for you.

Complementary Procedures to Blepharoplasty

Blepharoplasty can significantly enhance your appearance, but when paired with other procedures, the results can be even more transformative, tailored to your specific aesthetic goals. Many patients like to combine multiple procedures into one session to enhance results and reduce time in the operating room.

Combining the procedures can save money on anesthesia, facility fees, and operational costs. Also, recovery time can overlap, making the overall duration of downtime much shorter. Here are some common procedures often combined with blepharoplasty:

  • Facelift: Ideal for addressing sagging skin and deeper wrinkles, a facelift complements an upper eyelid lift by rejuvenating the lower half of the face, creating a balanced, youthful look.
  • Brow Lift: This procedure targets the brow area to lift sagging brows and minimize forehead wrinkles, complimenting the results of blepharoplasty.
  • Fat Transfer: Small amounts of fat can be transferred to the face to restore lost volume, particularly around the eyes and cheeks, complementing the young appearance achieved after blepharoplasty.

Additionally, we offer non-surgical options for those seeking less invasive enhancements. Dr. Khanna can incorporate additional procedures – even non-surgical treatments into your treatment plan:

  • Thermage: A non-invasive treatment that uses radiofrequency to tighten and lift the skin, especially effective around the eyes and lower face.
  • Neuromodulators: Injections can be used to relax the muscles around the eyes and forehead, decreasing wrinkles and enhancing the smooth appearance acquired by eyelid surgery.
  • Fillers: Hyaluronic acid fillers can help restore volume under the eyes and in the cheeks, making them a less invasive option for addressing issues that cannot be resolved by blepharoplasty alone.
  • Laser Resurfacing: Improves skin structure and firmness, reduces the appearance of fine wrinkles, and evens out skin pigmentation, giving the eyes a more youthful appearance.
  • Chemical Peels: Can improve the skin’s surface by minimizing the appearance of dark under-eye bags and tiny wrinkles while improving overall skin quality in the treated area.
  • Specialized Skincare Products: Certain products can improve skin texture and elasticity, maintaining and enhancing the surgical results.

During your consultation at ICLS Plastic Surgery, we encourage you to explore all available options—surgical and non-surgical. This discussion ensures we can craft a personalized plan that perfectly aligns with your vision and goals, achieving a natural, rejuvenated look.

What Is A Blepharoplasty Consultation Like with Dr. Khanna?

When you meet with Dr. Khanna for a blepharoplasty consultation, you’ll find the experience informative, reassuring, and personal. This initial visit is key to establishing a genuine connection between you and Dr. Khanna, emphasizing a mutual understanding and trust that forms the foundation of your care.

During the consultation, Dr. Khanna takes a hands-on approach to review your medical history. This careful examination allows her to understand any unique health considerations and ensures that the procedure can be customized to meet your specific needs safely and effectively.

The discussion of your aesthetic goals is a central part of the visit. Dr. Khanna listens attentively to your desires and concerns, providing a personalized plan that aligns with how you envision your results. She values open communication and encourages you to voice questions or concerns, so you feel prepared and supported.

Dr. Khanna is committed to dedicated, attentive care. She ensures that you feel confident about your path forward when you leave your consultation, knowing that your care is in the hands of a supportive and experienced professional.

What Happens During Blepharoplasty?

During upper blepharoplasty, Dr. Khanna and her team focus on removing or repositioning excess skin and fat from the upper eyelids. This procedure alleviates any heaviness caused by drooping skin and restores the eyelid’s natural contour, resulting in a more open, refreshed look. The team’s precision, combined with their advanced surgical techniques and specialized equipment, ensures a refined and natural appearance.

Lower blepharoplasty reduces under-eye bags and tightens the skin beneath the eyes. Dr. Khanna carefully removes excess fat and, if necessary, repositions it to prevent a hollow appearance. Her technique minimizes downtime and enhances recovery, providing a smoother, more youthful under-eye area.

For patients needing a combination of both procedures, Dr. Khanna seamlessly integrates techniques tailored to rejuvenate both the upper and lower eyelids effectively. Her vast experience and the state-of-the-art technologies employed by her team allow for a comprehensive approach, ensuring balanced and harmonious results that rejuvenate the entire eye area.

How Long Does It Take to Perform an Eyelid Surgery?

A typical blepharoplasty procedure with Dr. Khanna takes one to three hours, depending on whether the upper or lower eyelids are being treated. This duration allows Dr. Khanna to refine details, ensuring optimal outcomes with minimal discomfort.

Blepharoplasty Recovery

The recovery process after blepharoplasty varies depending on whether you have upper eyelid surgery, lower eyelid surgery, or both. Here’s what you can generally expect for each type.

Upper Blepharoplasty Recovery

After upper eyelid surgery, patients often experience minimal bruising and swelling. These symptoms typically last about one week. You may feel some tenderness, and the eyes might feel a bit sticky or itchy. Dr. Khanna recommends using ointment and cold compresses, and keeping your head elevated to help reduce swelling and discomfort. Any sutures are usually removed around 5-6 days post-surgery.

Lower Blepharoplasty Recovery

Due to the sensitive nature of the under-eye area, recovery from lower eyelid surgery can involve slightly more pronounced swelling and bruising, which can last up to two weeks. Similar to upper eyelid surgery, patients will need to manage discomfort with oral pain medication, use ointments for dryness, and apply cold compresses. Keeping the head elevated, especially during sleep, is also crucial for effective healing.

Combination of Both Procedures

When both upper and lower eyelid surgeries are performed simultaneously, the recovery may involve the combined symptoms of both procedures. Swelling and bruising will be more noticeable and might last slightly longer, up to two weeks. The same care measures apply, including cold compresses, ointment, elevation of the head, and pain management with medication.

For all types of blepharoplasty, Dr. Khanna schedules follow-up appointments to monitor your healing and ensure optimal results. These check-ins are a key part of the personalized care approach, allowing Dr. Khanna to address any concerns you might have and adjust post-operative care as needed.

After surgery, you will need someone to drive you home, as your vision may be temporarily impaired due to swelling and bandaging. Dr. Khanna and her team emphasize patient education on care techniques to use at home, ensuring you feel supported throughout the recovery phase. This thorough, patient-centric approach helps achieve the best possible outcomes with your comfort and satisfaction as the top priority.

Will I Have Noticeable Scars After Eyelid Surgery?

After eyelid surgery, any scars are typically very subtle and strategically placed to be well-hidden within the natural folds of your eyelids or just below the lash line. Dr. Khanna employs meticulous surgical techniques to minimize the visibility of scars, ensuring they are as inconspicuous as possible.

Following the procedure, Dr. Khanna provides detailed aftercare instructions to help reduce scarring and accelerate healing. These instructions might include recommendations for gentle care, using specific ointments, and avoiding direct sun exposure to the healing areas. By closely following these guidelines, you can ensure that the scars remain virtually unnoticeable.

How Long Does Eyelid Surgery Last?

The results of eyelid surgery can last for many years; typically, upper eyelid surgery can last at least 5 to 7 years, while lower eyelid surgery rarely needs to be repeated. However, it’s important to understand that while the effects are long-lasting, they do not stop the aging process. Some patients may choose to have additional procedures in the future to maintain their desired appearance.

How Much Does Blepharoplasty Cost?

The cost of blepharoplasty varies depending on the specific procedure. At ICLS, the costs are as follows:

  • Upper Eyelid Surgery: $8,000 + HST
  • Lower eyelid surgery with fat transfer tear troughs +/- fat to medial cheeks: $10,000 + HST
  • Combination of Upper and Lower Eyelids: Starts at $14,300 + HST

To make these procedures more accessible, we offer financing options through partnerships with third-party financiers. These partnerships allow for flexible installment plans, helping to ease the financial burden. We encourage you to discuss these options with our patient coordinators who can provide detailed information and assist in finding a plan that works best for you.

At our practice, we are committed to transparency and support throughout the financial aspects of your care. We’re here to answer any questions and provide clear, upfront details about all costs associated with your procedure.

Why Choose ICLS for Blepharoplasty?

Patients from the Greater Toronto Area, including Toronto, Mississauga, Burlington, and Hamilton, trust ICLS for eye lifts due to Dr. Khanna’s expertise in eyelid surgery and her compassionate approach to patient care. Her extensive experience in performing eye lifts ensures natural-looking results that enhance your overall facial aesthetics. Our commitment to patient satisfaction means we work closely with you to achieve the best possible outcome.

We invite you to learn more about how blepharoplasty at ICLS can help you achieve your aesthetic goals. Contact us today to schedule a consultation with Dr. Khanna and experience our commitment to excellence and patient care firsthand.

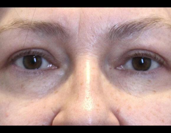
Before and After

Upper blepharoplasty

Upper blepharoplasty

Upper blepharoplasty

Upper & lower blepharoplasty

Upper blepharoplasty

Lower blepharoplasty

Upper blepharoplasty

Upper & lower blepharoplasty

Lower blepharoplasty

Photos are for educational purposes only.

Frequently Asked Questions

  • Can Blepharoplasty Surgery Remove Dark Circles Under The Eyes?

     A common misconception about this surgery is that it can remove dark circles under the eyes. This unfortunately is not true, and cannot be corrected by surgery. The dark circles are vascular, and due to thin skin under the eyes. Correction of dark circles can often be achieved through cosmetic fillers and natural injectables or fat transfer.

  • Is Droopy Eyelid Surgery Permanent?

    Droopy eyelid surgery offers long-lasting results, but it does not halt the aging process. The effects can remain for many years, but some patients may eventually see changes as they age and opt for additional treatments.

  • What is Asian Blepharoplasty?

    Asian blepharoplasty is designed to create or enhance an upper eyelid crease in people of Asian descent. This popular cosmetic surgery aims to produce a wider, more defined eye appearance while preserving natural ethnic features.

  • What Are the Benefits of an Eyelid Lift?

    An upper eyelid lift addresses hooded eyelids. This problem is when the skin falls and droops over the eye due to aging, trauma, or other medical conditions. It also targets wrinkles, lines, and puffiness in the upper lids. The benefits of upper blepharoplasty include restoring clear, bright eyes without sagging or puffy lids. It may also correct any peripheral vision issues caused by drooping lids.

    Furthermore, incision placement by our board-certified surgeons allows you to enjoy rejuvenated eyes without visible scarring.

     

  • Why an Eyelift Can Have Such a Large Impact on Your Look?

    It’s one of the most irritating statements you can ever hear, and for some of us, it’s a statement that we often hear: “You look tired.” The worst part is that we can’t help it; drooping skin and puffiness in our upper and lower eyelids can make even the most lively of us look like we just pulled an all-nighter.

    Drooping upper eyelids can inflict a wide range of damage, creating the illusion that you are much older, much more tired, and heavier than you really are. An upper eyelift can revitalize and rejuvenate your eyes by removing the excess skin and tissue that’s causing them to droop.

    Perpetually puffy lower eyelids can make us look tired anywhere, anytime, and no amount of coffee, little slices of cucumbers or concealer can help. If you’re tired of looking tired, a lower eyelift can remove the excess fat, skin and tissue for a more refreshed look.

    Thankfully, the eyelift is a chance for us to return to who we were and, more importantly, it’s a chance for the world to see you as you really are.

Our Specialist

Dr Julie Khanna ICLS Dermatology and Plastic Surgery Female Plastic Surgeon

Dr. Julie Khanna

Our internationally-renowned, double board-certified plastic surgeon is considered a leader in breast reshaping, body contouring and facial anti-aging procedures. Combining well-honed surgical skill with a commitment to ethical care, Dr. Julie Khanna looks beyond the procedure to the patient as a whole, from inner self to outer beauty.

Dr. Khanna’s Profile